一说到癌症晚期,很多人的想法就是“没救了”“时间不多了”等等。实际上,这都是很多年前的老思想了,现在医学发展非常迅速,很多癌症即使到了晚期,也能通过有效的治疗手段控制住它,做到带瘤生存,乃至无瘤生存。

患者赵某,因咯痰中带血伴头晕1个月,来齐医附属一院肿瘤内科就诊,门诊检查C T及核磁共振发现自己得了肺癌,并且已经脑转移,顿时天像塌了一样,认为自己没有希望了。但是经过与医生的充分沟通后,他抱着试一试心态来治疗,肿瘤内科副主任付荣为他行肺肿块穿刺活检,明确了患者为肺腺癌,后给予了精准的个性化治疗2个周期后,患者所有的不适症状均得到的改善,复查一下CT和核磁共振效果显著。



治疗前后对比
我们可以看到,该患者满肺的转移病灶几乎清除殆尽,脑转移病灶缩小明显,大部分已经消失。
那么为什么会有这么好的效果呢?这还要源于精准的肺病灶穿刺活检,第一时间明确病理分型,根据病理分型选择精准且个性化的治疗。随着治疗手段的增多,一对一的个人定制化治疗逐渐将肺癌发展为慢性疾病,让每个病人都有活下去的希望,甚至更高质量地活下去。
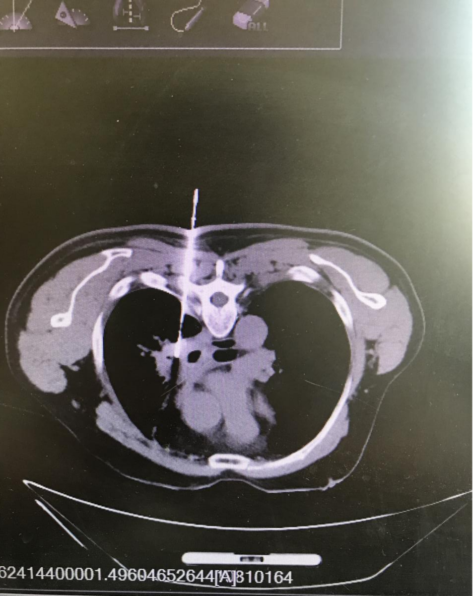
既然讲到这里,就不得不谈到肺穿刺活检,很多患者致死都不愿意进行穿刺活检。是担心穿刺活检会造成肿瘤的破坏,癌细胞转移。需要明确的是,穿刺活检并不会导致癌细胞转移。因为穿刺针不像我们常见的针,而是类似于圆珠笔,可以一伸一缩,按一下开关,穿刺针里面的针芯就会弹出来,取完癌细胞之后,再按一下开关,针芯就会缩回套管。所以,在穿刺针拔出来的过程中,癌细胞是被层层“包围”的,不会发生扩散的风险。

随着医学的进步,分子靶向治疗和免疫治疗的不断发展,肺结节穿刺活检从幕后逐渐走到了前台。它不仅帮助医生回答了“是与不是”,也回答了“哪一类哪一型”的问题,更是帮助医生判定肺部结节的“过去”、治疗的“现在”和预测治疗的“未来”。
通过穿刺前设计进针路径,最终得到的是一条完美的组织条。通过组织条在病理专家的火眼金睛下,得到准确的结果,指导患者精确治疗。


齐医附属一院肿瘤内科自开展“同轴活检”技术以来,穿刺活检已超过500余例,技术成熟。它创伤性小,安全性高,准确率高达95%以上,尤其对于病灶较深的部位,例如肺部、腹腔(肝、胰、肾),CT引导下活检更具优势,操作简便、费用低廉、并发症少,能被大多数患者接受,不仅避免了患者疫情期间转诊就医的种种困难,还大大缩短了患者的住院时间。
我们的技术越来越成熟,穿刺的病灶越来越小,距离越来越深。从一开始的10多厘米的病灶,到现在的1cm的小结节,我们几乎是无所不能,无孔不入。
